ブログ
東京銀座NOVA矯正歯科の歯科に関するブログを投稿しています。
-
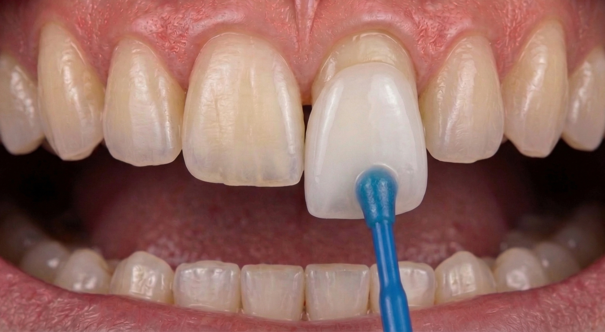
ラミネートベニアで「後悔した」と言われる3つの理由。失敗しないための医院選びとは?
「歯の色や形を手軽に綺麗にしたい」という方に人気の高いラミネートベニア。しかし、インターネットで検索すると「後悔した」「やらなきゃよかった」というネガティブなキーワードを目にすることもあり、不安を感じている方も多いのでは […]
2026-04-18 -
ガミースマイルの原因別の治療方法を解説
「思い切り笑うと歯茎が目立ってしまい、手で口元を隠してしまう…」「写真に写る自分の笑顔に自信が持てない」 このような「ガミースマイル」に関するコンプレックスをお持ちではありませんか? ガミースマイルは、ご本人にとって非常 […]
2026-04-15 -
マウスピース矯正のメリットと注意点を徹底解説
「歯並びを綺麗にしたいけれど、目立つ矯正装置には抵抗がある…」「接客業や営業職なので、人に気づかれずに矯正したい」 そんなお悩みを抱えていませんか? 近年、非常に人気が高まっているのが、透明な装置を使った「マウスピース矯 […]
2026-04-12 -
削らないラミネートベニアの寿命は?後悔しないための長持ちの秘訣
短期間で憧れの白く美しい歯並びを手に入れられる「ラミネートベニア」。審美性を求める多くの方に選ばれている人気の治療法です。 しかし、いざ治療を検討するとなると「せっかく治療しても、すぐに割れたり取れたりしてしまうのでは? […]
2026-04-10 -
ラミネートベニアのリスクとその対策方法
「手軽に白くて美しい歯を手に入れたい」「すきっ歯を綺麗に整えたい」 そんな願いを叶える審美治療として人気のラミネートベニア。しかし、インターネットで検索すると「後悔した」「やめたほうがいい」といった声を目にして、不安を感 […]
2026-04-05 -
歯を削らないラミネートべニアとは?
「歯の形や色が気になるけれど、健康な歯を削るのは抵抗がある…」 そんなお悩みを抱えていませんか? 美しい口元は、第一印象を大きく左右する重要なポイントです。しかし、美しさを手に入れるためにご自身の本来の歯を犠牲にする必要 […]
2026-04-03 -
準備中
現在、記事を準備中です。 今後、皆さまに役立つ情報を順次発信してまいりますので、公開まで今しばらくお待ちください。
2026-03-27