東銀座駅徒歩1分の矯正歯科・審美歯科
東京銀座NOVA矯正歯科
専門性と丁寧さで支える、
オーダーメイドの矯正治療
東京銀座NOVA矯正歯科では、患者さま一人ひとりのお悩みやライフスタイルに寄り添い、矯正治療に特化した専門性の高い歯科医療を提供しています。噛み合わせや歯並びはもちろん、見た目・機能性・将来の安定性まで考えた治療計画を大切にしています。
診療スケジュール
診療時間
月
火
水
木
金
土
日
10:00-14:00
15:00-19:00
診療日 10:00-14:00 / 15:00-19:00
休診日 月曜
アクセス
東京都中央区銀座5丁目14−17
USBビル 2階
東銀座駅から徒歩1分
銀座駅から徒歩5分
TREATMENT MENU
診療メニュー
最短。短期間。
美しいスピード矯正。
最短で理想形に到達する
様々な治療を提案。
お顔全体を
トータルで美しく。
YOUR CONCERNS
自分の歯並び・口元の状態を知り
お悩みから治療を探す
お悩み別の治療
自分の歯並び・口元の状態を知り
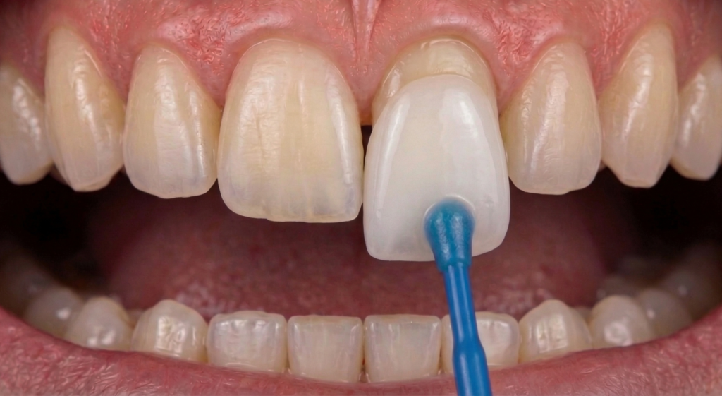
“見た目”だけじゃない、
本当に意味のある矯正治療を。
歯並びのお悩みは、人それぞれ違います。ガタつき・出っ歯・受け口・口ゴボ・すきっ歯など、見た目のお悩みはもちろん、噛み合わせや将来の歯の健康まで考えることが大切です。東京銀座NOVA矯正歯科では、精密な診断をもとに、審美性と機能性の両方を重視したオーダーメイドの矯正治療をご提案しています。
FEATURE
東京銀座NOVA矯正歯科の特徴
美しさの“その先”まで設計する、銀座の矯正歯科
東京銀座NOVA矯正歯科が大切にしているのは、今きれいになることだけでなく、時間が経っても価値の落ちない美しさです。口元の印象はもちろん、噛み合わせや口腔内全体のバランスまでを見据え、一人ひとりに合わせた治療設計を行っています。
FEATURE 01. SPEED
最短ルートで、
美しい口元へ。
スピード矯正 × 審美治療のハイブリッド設計。
通常より短期間で美しく仕上がるよう、スピード矯正に加えベニア・セラミックを組み合わせ、最短で理想形に到達する治療をご提案します。
FEATURE 02. ART
圧倒的な審美センスで
「美」をデザイン。
機能性だけでなく「美しさ」にも
徹底的にこだわった治療。
歯の色・形・バランスはもちろん、
口元全体の調和まで見据えた圧倒的な審美センス。
FEATURE 03. ACCESS
全国から通いやすい、
東銀座駅徒歩1分のアクセス。
東銀座駅徒歩1分の最高アクセス。
日本全国はもちろん、海外からも通院しやすい東銀座駅 徒歩1分の好立地。多忙な方の時間のロスを最小限に抑えたアクセス環境を整えています。
FAQ
矯正治療のよくある質問
Q.
公共交通機関でのアクセス方法を教えてください
A.
当院は、東銀座駅「4番出口」より徒歩1分の非常に便利な場所にございます。銀座駅からも徒歩5分で、お買い物帰りやお仕事帰りにも通院しやすい立地です。
Q.
初診時に持っていくものはありますか?
A.
特に必要なものはございません。
Q.
予約は必須ですか?当日予約はできますか?
A.
予約優先とさせていただいておりますが、空きがある場合は当日のご案内も可能ですので、まずはお電話にてお気軽にお問い合わせください。
Q.
WEB予約はできますか?
A.
はい、24時間ご予約可能です。 WEB予約のほか、公式LINEでの予約・事前相談も受け付けておりますので、ぜひご活用ください。
Q.
予約の変更やキャンセルはどうすれば良いですか?
A.
お電話またはLINEで承ります。当日の急な変更や緊急の場合は、お電話にてご連絡をお願いいたします。
DOCTOR
ドクター紹介
東京銀座NOVA矯正歯科院長 神田 純也
JYUNYA KANDAオーダーメイドの審美歯科を。
歯科医師として、どうすれば患者様をベストな状態まで導けるか、この患者様は何を1番求めてるのか、どうすればこの状態が長期的に保てるのか、を常に考えてきました。
そしてセラミック等の審美治療・インプラント・ワイヤー矯正・マウスピース矯正・歯周病治療・精密根管治療・ボトックスやヒアルによる口元美容など多くの歯科治療を行ってきました。
これまでの経験を活かし、銀座にて一人ひとりに適切な審美歯科医療をご提案させていただきます。
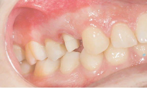
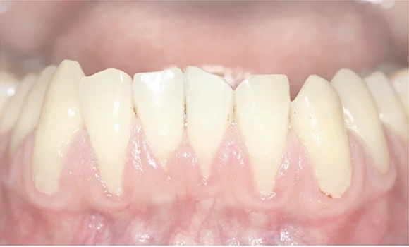
CASE
症例紹介
噛み合わせから美しさを設計する
矯正治療の実例。
東京銀座NOVA矯正歯科では、歯並びの美しさだけでなく、噛み合わせや顎のバランスまで見据えた矯正治療を行っています。一人ひとりのお悩みや状態によって、選択する治療方法や治療期間は異なります。
ここでは、当院で実際に行った矯正治療の症例をもとに、治療によってどのような変化が生まれるのか、また、私たちが大切にしている治療設計の考え方をご紹介しています。「自分と近い症例を知りたい」「治療後のイメージを具体的に持ちたい」という方は、ぜひご覧ください。
SNS
インスタグラム
BLOG
院長ブログ
CAMPAIGN
キャンペーン
専門性と丁寧さで支える、
オーダーメイドの矯正治療
東京銀座NOVA矯正歯科では、患者さま一人ひとりのお悩みやライフスタイルに寄り添い、矯正治療に特化した専門性の高い歯科医療を提供しています。噛み合わせや歯並びはもちろん、見た目・機能性・将来の安定性まで考えた治療計画を大切にしています。
診療スケジュール
診療時間
月
火
水
木
金
土
日
10:00-14:00
15:00-19:00
診療日 10:00-14:00 / 15:00-19:00
休診日 月曜
アクセス
東京都中央区銀座5丁目14−17
USBビル 2階
東銀座駅から徒歩1分
銀座駅から徒歩5分
初めて受診される方へ
初回相談費用等
約¥3,000~5,000
クレジットカード支払い対応
東京銀座NOVA矯正歯科では、矯正治療や審美歯科をメインに、精密検査・診断をもとに、一人ひとりに合わせた治療計画と費用のご案内を行っています。治療内容・期間・費用については、事前にしっかりご説明し、ご納得いただいた上で治療をスタートしますのでご安心ください。矯正治療・各種自費診療のお支払いにはクレジットカードのご利用も可能です。

